Skip to content
  • Fri. Apr 17th, 2026
  • Saltlake Dental Implants

    Healthy Dental Routine, Healthy Smiles

    • Home
    '

    Saltlake Dental Implants

    Healthy Dental Routine, Healthy Smiles

    • Home
    HomeComplete smile restoration

    Tag: Complete smile restoration

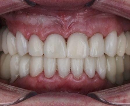
    Complete Smile Restoration- Valley Smiles Phoenix Dentist
    Dental Implants

    5 Life-Changing Benefits of Complete Smile Restoration

    A confident smile can significantly impact various aspects of our lives, from personal relationships to professional success. However, many individuals in Phoenix and around the world face challenges related to dental issues that affect their smiles. Complete smile restoration, a comprehensive dental procedure, offers transformative benefits that extend beyond aesthetics. In this blog, we’ll explore […]

    author
    By Saltlake Dental Implants
    December 27, 2023December 27, 2023

    Recent Posts

    • Smile Makeover: What to Expect and How to Get Started
    • Cosmetic Dentistry: Transforming Smiles and Lives
    • Emergency Dental Care: What to Do in a Dental Emergency
    • Transforming Smiles: An Overview of Cosmetic Dentistry Options
    • Top 10 Questions to Ask Your Dentist During Your Next Visit

    Recent Comments

    No comments to show.

    Archives

    • June 2024
    • May 2024
    • April 2024
    • March 2024
    • February 2024
    • January 2024
    • December 2023
    • November 2023
    • September 2023
    • August 2023
    • July 2023
    • June 2023
    • May 2023
    • April 2023
    • December 2022

    Categories

    • Acidic Mouthwash
    • Clear aligners
    • Cosmetic Dentist
    • Cosmetic Dentistry
    • Dental Anxiety
    • Dental Care
    • Dental Checkups
    • Dental Emergency
    • Dental Implants
    • Dental Veneers
    • Dentist
    • Dentist Alpharetta
    • Dentist Houston
    • Invisalign
    • IV Sedation
    • Oral Cancer Screening
    • Oral Health
    • Orthodontic
    • Orthodontist
    • Porcelain Veneers
    • Routine dental care
    • Uncategorized
    Saltlake Dental Implants